Das Labor für individuelle Zahntechnik
Im Vordergrund unseres Denkens steht die Zufriedenheit des Patienten. Ihnen bieten wir Qualitätsbewusstsein in Ästhetik, Funktion und Langlebigkeit .
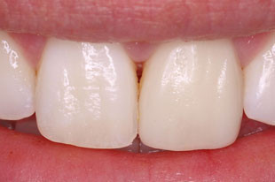
Schöne und perfekte Zähne sind eine wichtige Grundlage für Erfolg in Geschäfts- und Privatleben, die die Persönlichkeit eines Menschen repräsentieren.
Kompetente Fachberatung, Kommunikation zwischen Zahnarzt und Zahntechniker garantieren Harmonie zwischen Ästhetik und Funktion.
Die Vielzahl verwendete Materialien in verschiedene Anwendungsgebieten
machen es uns Möglich, Zahnärzte und ihre Patienten Individuellen Zahnersatz Lösungen anzubieten.
Höchste Qualität auf jeder Ebene, beste Materialien, äußerste Präzision bei der Verarbeitung
Unsere Vorteile im Überblick
- Auf Wunsch Anwesendheit bei der Zahnersatzeingliederung
- Komunikation zwischen Praxis und Labor
- Persönlicher und kontinuierlicher Chefkontakt vor Ort in der Zahnarztpraxis
- Auf Wunsch und nach Absprache: Mitwirkung bei der Prothetikberatung
- bis 5 Jahre Garantie auf gefräste Arbeiten
- Flexibler Hol- und Bring-Service
- Schaumodelle und Patienteninformationen für Ihre Patientenberatung
- Zahnfarb- und Zahnformbestimmung auf Wunsch in Labor oder in der Praxis
Sie möchten mehr über uns und unsere Leistungen erfahren?
Wir helfen Ihnen gerne weiter. Kontaktieren Sie uns unter +49 7633 9236301 oder nutzen Sie unser Kontaktformular.
Bildergalerie: Eindrücke von unserer Arbeit
Kontakt
Sie erreichen uns unter:
+49 7633 9236301
goetz-zahntechnik@t-online.de
Josef Mühlebachstr 15
79189 Bad Krozingen